Etymologie
公 Gōng
|
public / commun / équitable / mâle / affaires publiques / beau-père (père du conjoint) / duc
|
孙 Sūn
|
petit-fils / petits-enfants
|
On peut comprendre
que l’alliance d’un
caractère qui peut signifier le grand-père (Gong 公) avec un
caractère qui désigne les petits-fils (Sun孫)
puisse s'interpréter comme la relation de l’aïeul à ses descendants.
Le caractère Sūn 孙se retrouve
dans les vaisseaux Sun Luo (孫絡), qui sont
comme des vaisseaux capillaires qui irriguent les chairs à la surface de tout
le corps et qui constituent des branches des méridiens de Communication eux-mêmes.
Une relation avec l'élément Terre et les fonctions de la Rate et même avec
Chong Mai, Mer du sang et de ses
circulations, pourrait ainsi être établie, mais il s'agit très certainement
d'une relation a postériori..Cette appellation est donc tout à fait plausible, car le Vaisseau Pénétrant (dont Rte4 Gong Sun est le
point d’ouverture) contrôle l’ensemble du réseau de méridiens capillaires de
Communication du corps. De plus, la Rate elle-même contrôle les méridiens
secondaire par l’intermédiaire de Rte21Dabao.
Dans «Explication des points d’acupuncture », on trouve une
interprétation peu courante du nom de ce point. Il y est dit que Rte1 Yin Bai se
rattache au Bois, Rte2 Da Du au Feu et Rte3 Tai Bai à la Terre. Le Bois engendre le Feu, qui
engendre la Terre. On peut comparer ce lien à trois générations de grands-parents,
parents et enfants dans lesquelles Rte1 Yin Bai serait un grand parent, Rte2 Da Du un parent
et Rte3 Tai Bai un enfant ; Rte4 Gong Sun serait alors un petit enfant. Toutefois, si on suit
cette logique, tous les quatrièmes points des méridiens Yin devraient avoir « petit
enfant » dans leur nom, mais cet ouvrage n’explique pas pourquoi seul le
quatrième point du méridien de la Rate porte ce nom !
Si le caractère Sūn 孙
n'a pas vraiment d'autre sens que celui de petit fils,
le caractère Gōng公 présente
un éventail de sens beaucoup plus riche et qui peut faire varier la manière
dont on comprend le nom du point.
Ainsi il désigne un grand
dignitaire, c'est le titre de noblesse le plus élevé réservé au prince ou duc à la tête d'un Etat, ou à l'un
des trois grands conseillers de l'Empereur. Gong Sun pourrait alors s'interpréter
comme le descendant direct d'un prince ou
d'un grand ministre.
A partir du sens de prince
chef d'un Etat, le caractère s'emploie pour désigner le maître de maison, le chef
de famille qui a autorité et qui est souvent le grand père, le père ou l'homme
responsable : mari, oncle, beau-père;.. Gong Sun serait alors le rejeton de celui qui commande la famille.
Avoir autorité sur un Etat, un
ministère ou une famille implique que l'on puisse donner à chacun ce qui lui
revient pour faire régner la concorde, que l'on fasse passer l'intérêt commun
avant son intérêt propre, que l'on mène les affaires de façon équitable. d'ou
les sens du caractère gong : impartial, commun ou public, par opposition à personnel
ou privé.
Ces divers sens se rattachent
aisément à l'élément propre à la Rate, la Terre. En effet, parmi les
principales caractéristiques de l'élément Terre, on troue la fertilité, la capacité
à produire ainsi que la répartition juste, le partage universel pour le bien
commun.
La fécondation de la Terre
serait évoquée dans la descendance , la continuité des générations. Le point se
situe entre Rte3 Tai Bai, associé à
l'élément Terre lui même et Rte 5 Shang
Qiu, associé au Métal, fils de la Terre. Une puissance féconde dans la
durée se trouve là.
La Terre reçoit toutes les
sortes de semence et produit toutes les céréales qui servent à nourrir la vie.
La Rate reçoit les substances vitales ou nutriments venant de la digestion et
les répartit équitablement dans toutes les dilections, ne gardant pour elle que
ce qui est nécessaire à son propre fonctionnement. Elle est l'image de
l'impartialité, du grand ministre œuvre pour le bien public.
Gong Sun est également le nom
de clan (Xing姓)
de l'empereur Jaune, Huang Di,
empereur qui a régné par la puissance de l'élément Terre et qui a fait régner
un ordre juste sur la Terre.
On pourrait penser que le
grand dignitaire ou le grand père est ici le
Chong Mai, puisque ce point lui est associé Mais ce lien n'est attesté que
beaucoup plus tardivement, et rien ne nous autorise à penser qu'il existait
autour du premier siècle.
Cependant Chong Mai est très tôt associé au Zu
Yang Ming comme dans le Nan Jing 28
:
"Chong Mai commence à Qi Chong (E30 Qi Chong氣衝),; doublant le
méridien Yang Ming de pied, il encadre le nombril et monte, parvient au médiastin
(Xiong Zhong胸中) où il se diffuse.»
Caractéristiques
Particulières du Point
►
Point Luo de communication : Rte4 Gong Sun est le point Luo du Zu Tai Yin, qui assure donc la relation entre les deux méridiens Tai Yin et Zu Yang Ming
►
Point d'ouverture du Chong Mai,
Vaisseau d'attaque ou pénétrant
►
Point couplé avec MC6 Nei Guan du
Vaisseau Yin de Liaison (Yin Wei Mai)
► Point local pour les orteils (métrarsalgie, ...)
► Point distal pour la rate / l'estomac,
la région supérieure de l'abdomen
►
Point important pour traiter la
distension et la douleur de l’abdomen engendrées par la stagnation de Qi, les
stases de Sang ou l’obstruction par l’Humidité.
►
Point important pour les diarrhées
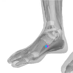
Localisation
Dans la dépression située en
avant et en dessous de la base du 1er os métatarsien, à la frontière entre la
peau rouge et la peau blanche.
Comment le trouver ?
Lorsque le doigt suit en
remontant la démarcation entre la peau rouge et la peau blanche (plante/dessus
du pied), sur la face médiale du milieu du pied, la base du 1er os métatarsien
forme une proéminence osseuse bien nette. Rte4 Gong Sun est situé dans la dépression qui
est distale par rapport à cette proéminence, à la jonction du corps et de la
base de l’os.
Rte3 Tai Bai est légèrement plus
distal, à la jonction de la tête et du corps du 1er os métatarsien.
V64 Jing Gu se trouve à une position comparable, sur la face latérale du milieu du pied (à la jonction du corps et de la base du 5ème os métatarsien).
Actions et Indications
Thérapeutiques
C’est un point complexe qui a
une sphère d’action très étendue.
La pathologie de ce point Luo se présente en plénitude (douleur abdominale aigüe accompagnée de crampes), en vide (distension abdominale et sous forme de symptômes spécifiques liés au reflux des souffles (jue qi 厥氣). Le reflux insiste sur le défaut des souffles corrects permettant l'investissement par les souffles pathogènes, ce qui convient mieux à un ZuTai Yin . Le Zu Tai Yin n'assure plus, ni la bonne qualité, ni la bonne circulation de ses souffles, d'où l'apparition de symptômes sur le trajet du Luo, c'est-à- dire dans l'abdomen. L'aide apportée normalement par le Zu Tai Yin au bon fonctionnement des intestins et de l'estomac se transforme en une perturbation, un désordre qu'on peut appeler choléra. Rte4 Gong Sun consolide le bon fonctionnement de la Rate et de l'Estomac et, en conséquence, celui des Intestins.
►
Point important pour les tableaux
de Plénitude et de douleur du Réchauffeur Moyen. (obstruction de la gorge,
dysphagie, obstruction du thorax par les glaires et la chaleur,
obstruction du diaphragme par les glaires, douleurs et gonflement costal
bilatéral lié au Qi, douleurs thoraciques lancinantes avec mélancolie)
► sert dans les tableaux de
Plénitude de l’Estomac et de la Rate, par exemple, en cas d’accumulation
d’Humidité dans l’épigastre, de stases de Sang dans l’Estomac, de Chaleur de
l’Estomac ou de montée du Qi Rebelle de l’Estomac.
Rte4 Gong Sun chasse le froid de l'Estomac et de la Rate, régule le mouvement des souffles en contre courant par son action sur le centre, stimule la descente du Qi de l’Estomac, élimine l'humidité malsaine. Il empêche ainsi les blocages et favorise le transit. C'est donc un point dont l'action est forte sur le système digestif par l'harmonisation du Réchauffeur Moyen.
C’est pourquoi il est utilisé très fréquemment pour disperser la plénitude de l’épigastre et pour calmer les
douleurs épigastriques ou abdominales souvent aigües (plénitude
de la région médiane, dyspepsie, des difficultés à bien digérer, régurgitations, vomissements (de liquides
clairs, de glaires), en particulier ceux qui soulagent, vomissements de glaires et vertiges, glaires
épigastriques, stases de nourritures, douleurs pongitives, ballonnements
abdominaux, diarrhée chronique, dysenteries, entérites (aigües ou chroniques), d coliques intestinales, borborygmes, tympanisme, douleurs vives dans l'abdomen, constipations, dilatations de l'abdomen, ténesme,et diverses pathologies de l'Estomac, cancer inclus ...
L'emballement de l'Estomac peut pousser vers le haut
les glaires consécutives à l'affaiblissement de la Rate; elles troublent alors
le Coeur et le mental.
►
Point important pour réguler les
Intestins et le transit intestinal dans
les tableaux de Plénitude Il est utilisé
aussi pour aider les mouvements
péristaltiques de l'intestin grêle, ce qui stimule les transports dans le
tractus digestif entre estomac et gros intestin.
Ses autres fonctions sont
dérivées de la relation qu’il entretient avec le Vaisseau Pénétrant dont il est le Point
d’ouverture.
►
Calme l’Esprit et ouvre les
orifices de l’Esprit . Le
Vaisseau Pénétrant traverse le Coeur et son syndrome de Qi rebelle affecte le
Coeur et l’Esprit. La perturbation des souffles dans le Yang Ming, dans l'Estomac, ainsi que dans les Intestins, comme le blocage des distributions de la Rate, peut provoquer des remontées et des échauffements qui troublent le Coeur, donnant des symptômes tels que des douleurs et constriction de la poitrine, , de l'anxiété, de l'agitation mentale, des malaises agités au coeur (Fan Xin煩⼼), des agitations et perturbations mentales, des insomnies, des pertes de mémoires , des propos insensés ou pleins de fureur, et même des convulsions, des myocardites, neuf types de douleurs cardiaques...
Le méridien de la Rate, Zu Tai Yin, se finit en plein Coeur (là
où commence le Shou Shao Yin) et Chong Mai se diffuse au milieu de la poitrine
après avoir traversé l'abdomen. La faiblesse de la Rate entraîne une déficience
du sang qui nourrit le Coeur et permet un fonctionnement du mental calme et pondéré.
En tonifiant le Yang de la Rate, ce point aide à calmer l'agitation émotionnel et à
réguler le psychisme.
On Notera que le méridien du Rein, Zu Shao Yin passe à proximité de l'emplacement de Rte4 Gong Sun, en particulier la portion porteuse du point correspondant au Feu, R2 Ran Gu. Rte4 Gong Sun clarifie la chaleur
►
Régule le vaisseau Pénétrant (Chong Mai). Un aspect important des pathologies
liées à Rte4 Gong Sun est son rôle dans des
perturbations du Sang qui rappelle la fonction de la Rate de présider au Sang,
de le garder dans ses voies. Cet aspect est particulièrement mis en valeur dans
son association au Chong Mai, méridien qui est la « Mer des 12 méridiens », de même que la « Mer du Sang ». Chong Mai est bien sûr puissant en souffles, mais comme Rte4 Gong Sun se trouve sur un méridien Yin, le côté Yin prévaut; De plus, le point
relie au Zu Yang Ming,
méridien associé au sang sans sa pathologie dans le Ling Shu. ch. 10.
Chong Mai pénètre dans l’Utérus. Rte4 Gong Sun, en tonifiant et en harmonisant le Vaisseau Pénétrant, régule les menstruations et calme les saignements excessifs tout en tonifiant la fonction qu’a la Rate de retenir le Sang.
- Il traite les perturbations dans l'écoulement du sang : blocage de sa descente, remontée intempestive ou encore une incapacité à être retenu et gardé, d'où l'importance de ce point en gynécologie pour des menstrues irrégulières, hémorragies et saignements utérins (Beng Lou 崩漏), pertes gynécologiques (dai xia 帶下),règles douloureuse, crampes et spasmes du bas ventre, endométrite, périmétrite...
- Arrête les saignements, surtout des Intestins et de l’Utérus. Tous les points de Communication des méridiens Yin arrêtent les saignements des méridiens appropriés. Rte4 Gong Sun arrête donc les saignements du système digestif. Toutefois, de par sa connexion avec le Vaisseau Pénétrant (qui est la Mer du Sang), il peut arrêter les saignements de n’importe quelle partie du corps (le Vaisseau Pénétrant contrôle aussi tous les méridiens de Communication du Sang).
►
Agit sur les liquides organiques : il soutient l'activité de la Rate et l'aide à transformer
l'humidité, à ne pas la laisser s'accumuler, à dissiper les stagnations
d'humidité qui peuvent entraîner des jaunisses ou bloquer les circulations dans
l'abdomen et les mouvements du transit et susciter ainsi des chaleurs pathologiques
ou diverses inflammations thoracoabdominales. Il traite les intestins et
l'estomac, dont les perturbations endommagent les liquides; Il aura ainsi des
indications pour des rétentions de liquide ou pour des œdèmes, en particulier au visage. C'est un point utilisé à présent pour réguler l'acidité gastrique, avec
un bon effet sur les secrétions, non seulement de l'estomac mais aussi de
l'intestin grêle.
►
Agit sur fièvres: Rte4 Gong Sun est également indiqué pour diverses fièvres
intermittentes ou malaria; elles peuvent venir d'un froid sur la Rate et d'une
chaleur consécutive au blocage qui s'en suit. Elles peuvent être plus
complexes, car la perturbation de la racine du Ciel postérieur atteint tous les
organes. Les 5 Zang souffrent de
l'affaiblissement de la Rate, du désordre du Centre à partir duquel se font non
seulement les distributions de nutriments, mais aussi les montées et les
descentes : montées des essences pures et descentes des aliments troubles.
►
peut être utilisé pour des affections
locales. Ainsi, par ses indications, on trouve une douleur accompagnée
de chaleur au centre de la plante du pied, douleur qui peut être si forte
qu'elle empêche de poser le pied par terre, ou encore des douleurs à la
malléole interne. Cette douleur avec chaleur sous le pied se situe dans la
région de R1 Yong Quan, qi est aussi le oint où se termine la branche
descendante du Chong Mai.
►
A des effets bénéfiques sur les
pieds et les orteils (pieds froids,
engourdissement des pieds, douleur des pieds, infections fongiques du
gros orteil). La branche descendante du Vaisseau Pénétrant,Chong Mai va à la voûte plantaire et à la plante des pieds, puis au gros orteil. C’est
pourquoi Rte4 Gong Sun peut traiter la douleur des pieds, les pieds froids,
l’engourdissement des pieds et les troubles du gros orteil.
Associations
+ MC6 Nei Guan (en
tonification) : L'association de Rte4 Gong Sun avec MC6 Nei Guan pour les affections
concernant le Coeur, la poitrine et l'Estomac est intéressante. On a là les
points maîtres de deux méridiens extraordinaires : Chong et Yin Wei Mai, ce
dernier ayant un rapport privilégié avec le yin et le sang, comme aussi avec le
Tai Yin de pied. De plus, le Maître du coeur étant en relation midi-minuit avec
l'Estomac, le couplage Rte4 Gong Sun/MC6 Nei Guan est particulièrement efficace
• ouvrent
le méridien de Liaison du Yin (Yin Wei Mai), nourrissent le Sang et calment
l’Esprit;
• Rte4 Gong Sun à droite et MC6 Nei Guan à
gauche ouvrent le Vaisseau Pénétrant (Chong Mai), Merveilleux Vaisseau qui est la Mer du Sang et que l’on
utilise principalement pour faire circuler le Sang en cas de stases de Sang,
harmonisent le Foie et la Rate, surtout dans les problèmes
digestifs (douleurs abdominales)
• fait
circuler le Qi dans le Réchauffeur Moyen
• tonifient
le sang et stimulent la descente du Qi de l’Estomac.
+E40
Feng Long : glaires
+ V20 Pi Shu + E36 Zu San Li : Excès d'humidité interne
+ VB39 Xuan Zhong : Arthrite de la cheville
+ E36 Zu San Li + VC12 Zhong Wan + VC6 Qi Hai : Vide et Froid de la Rate et de l’Estomac (Vide de Yang de la Rate) avec douleur sourde de l’épigastre et de l’abdomen
+ E42 Chong Yang : distension et plénitude abdominales, sensation d’oppression dans la poitrine, épistaxis, glaires, douleur du pied, douleur de la cheville
+ E42 Chong Yang + moxas sur E36 Zu San Li ou E36 Zu San Li + VB39 Xuan Zhong + V62 Shen Mai : en cas de béribéri, faiblesse et manque de force...
+ R9 Zhu bin + MC6 Nei Guan : calmer l'esprit, harmoniser coeur et rein
+ R14 Si Man + MC6 Nei Guan : pour traiter le Qi rebelle dans le Vaisseau Pénétrant
+ E30 Qi Chong + MC6 Nei Guan : Point important pour soumettre le Qi rebelle du Vaisseau Pénétrant, Chong Mai
+ R21 You Men + MC6 Nei Guan + R14 Si Man ou R13 Qi Xue selon la nature Plénitude ou Vide Plénitude de la pathologie. Pour soumettre le Qi rebelle du Vaisseau Pénétrant
+ VC4 Guan Yuan + MC6 Nei Guan .pour soumettre le Qi rebelle du Vaisseau Pénétrant : sensation de froid dans le bas-ventre, un Syndrome du porcelet qui court, une plénitude et une douleur ombilicale
+ MC6 Nei Guan + VC12 Zhong Wan : Vide de la Rate et de l’Estomac et altération de la fonction transport - transformation avec distension et douleur postprandiale
+ VC12 Zhong Wan , point mu de l'Estomac
+ E36 Zu San Li : pour harmoniser l'Estomac en aidant à défaire les blocages et à baisser les contre courants
+ E36 Zu San Li + E21 Liang Men : pour les gastralgies avec régurgitations acides
+ VC12 Zhong Wan + E41 Jie Xi + E36 Zu San Li : pour des rétentions d'aliments avec des continuelles et vives douleurs dans l'abdomen
Moxibustion
De 3 à 5 cônes ou moxa doux pendant 10 minutes.




Aucun commentaire:
Enregistrer un commentaire